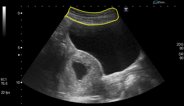
Now explore the anatomy on an ultrasound image.
Click on each of anatomical landmarks below.
Note that the urethra and the ovaries are not visible on this image.

1. Abdominal wall containing, skin, fat and muscles

2. Bowel

3. Bladder

4. Uterus

5. Vagina

6. Rectum

7. Pouch of Douglas
9. Ovaries - not visible on this image